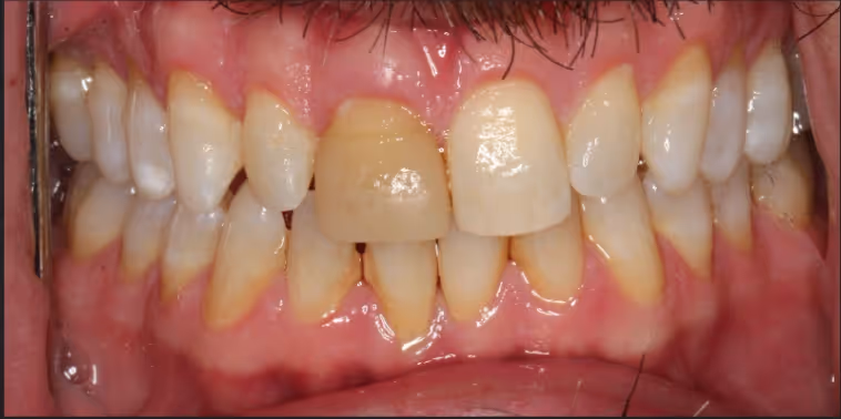
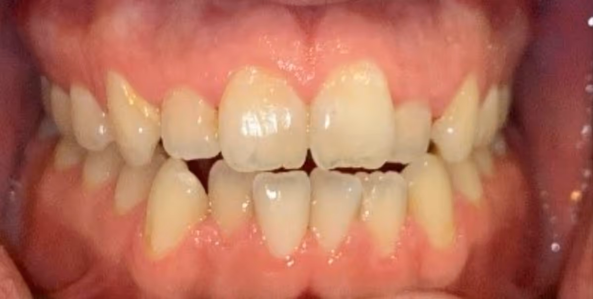
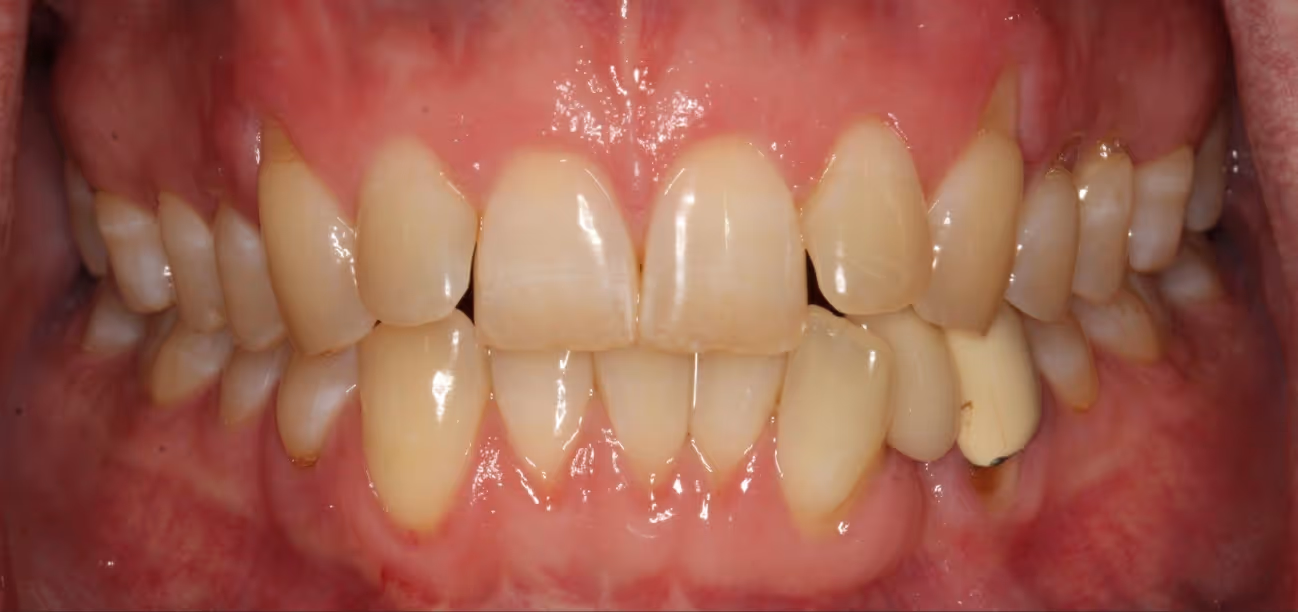
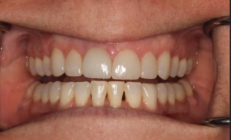
Cracked, worn, or damaged tooth? At Northstar Dental, our CEREC same-day crowns make it easy to restore strength, function, and beauty without the wait. You’ll walk in with a problem tooth and leave with a custom-crafted crown designed to last.
%20(1).webp)
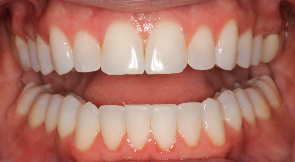
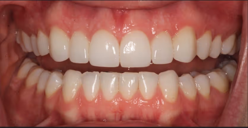
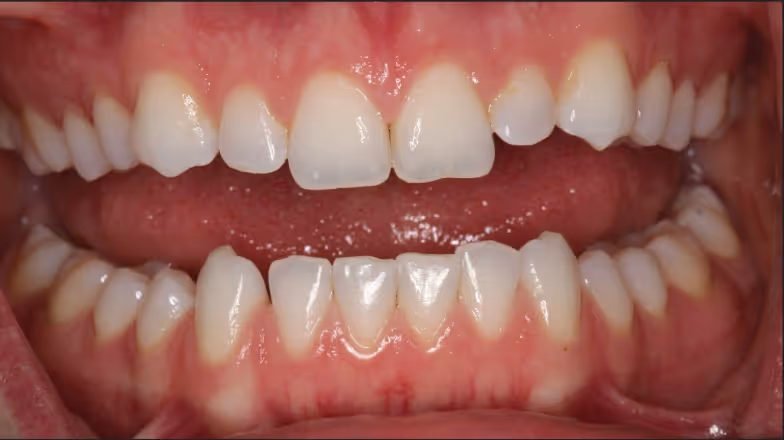
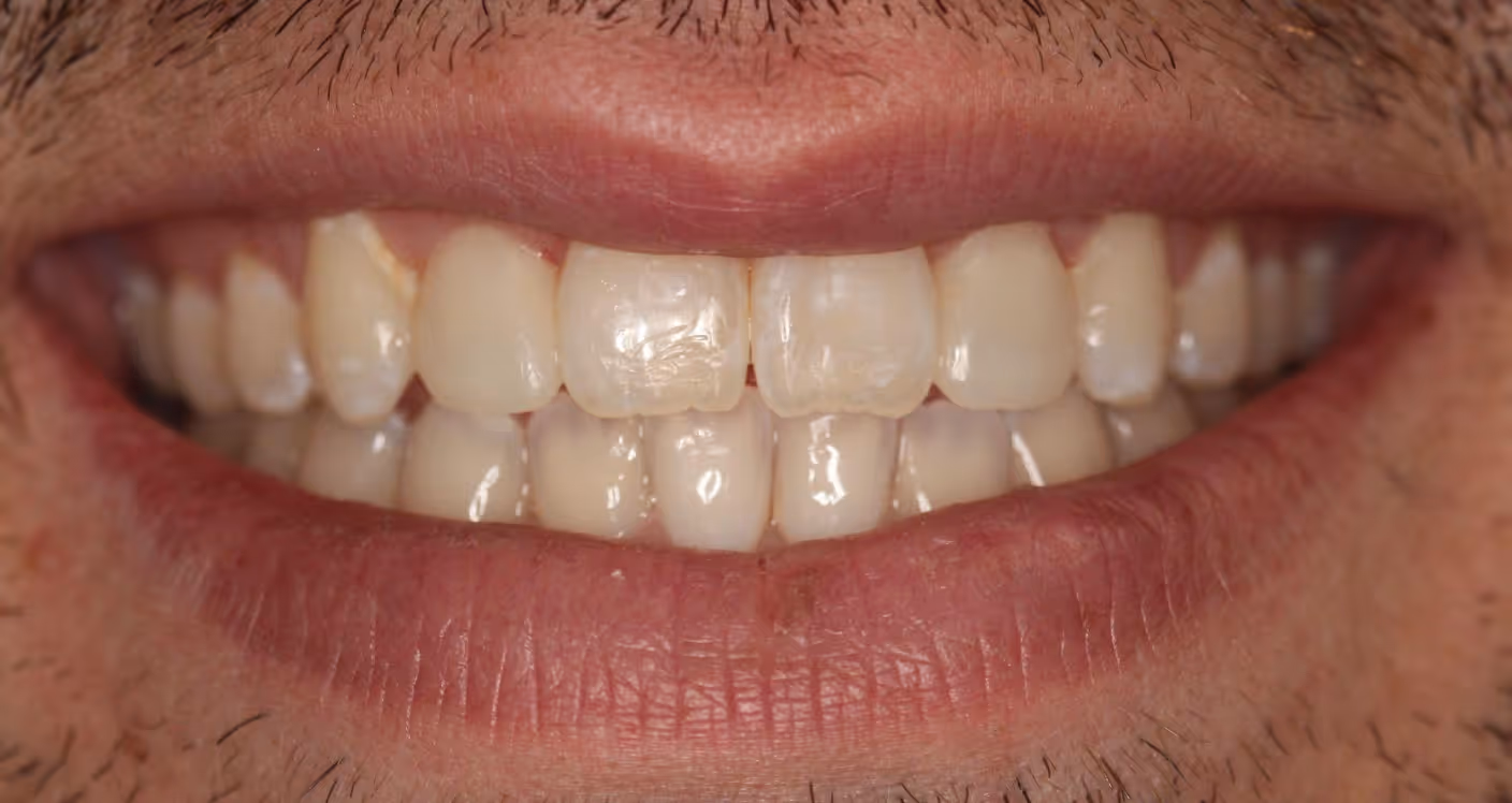
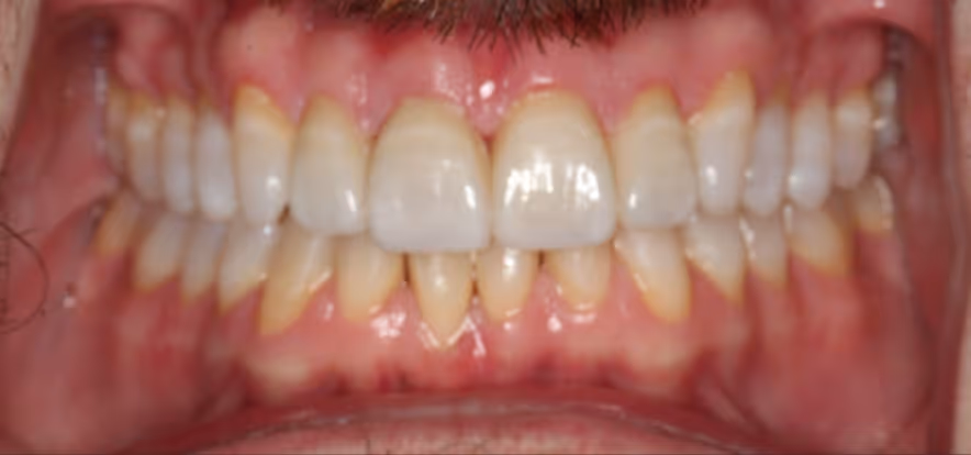
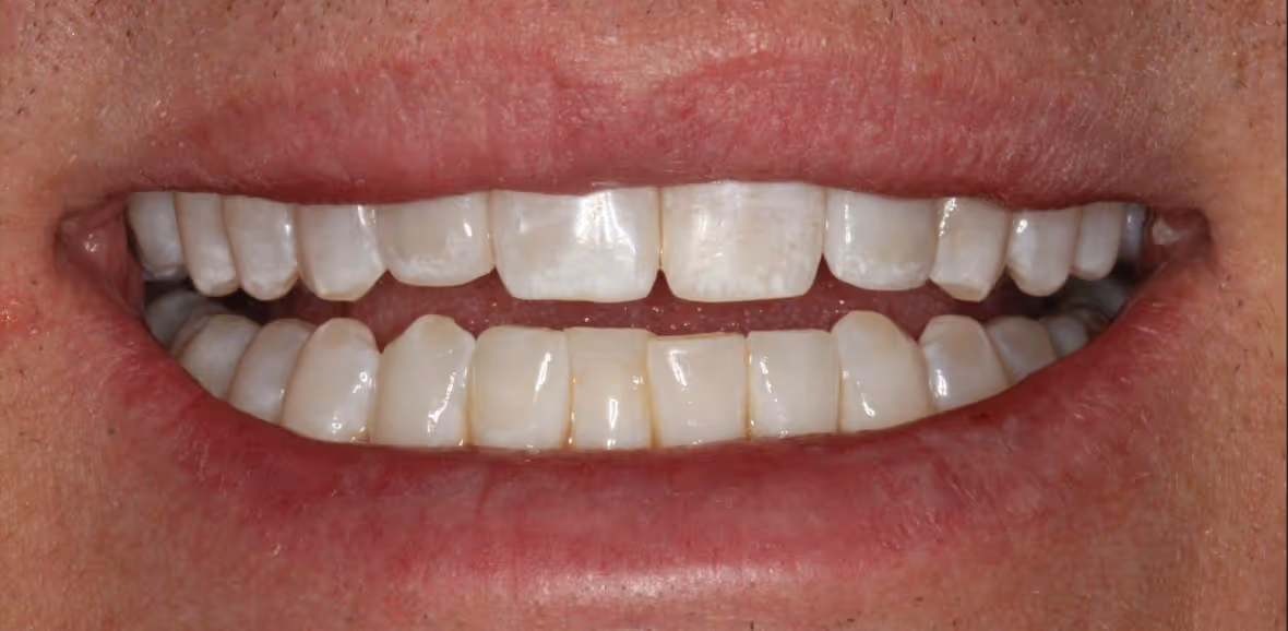
Same-day crowns are high-quality ceramic restorations crafted and placed in a single visit. Ideal for restoring teeth that are cracked, decayed, or heavily worn.Instead of wearing a temporary crown for weeks, you’ll receive a permanent solution on the same day. At Northstar Dental, we use advanced digital imaging to design a crown that fits seamlessly and feels like your natural tooth—giving you back your smile without delay.
.webp)
Get a permanent, custom crown in just a single visit—saving you time and reducing disruption to your schedule.
Because your final crown is ready the same day, there’s no need for an uncomfortable or unstable temporary.
It takes about an hour to create your crown. That's why we encourage you to sit back and watch your favorite show in our massage chairs while you wait.
.webp)
Our trusted local team has you covered with a wide variety of sedation options to suit your every need. Schedule a free consultation and discover which option is best for you.
Getting a crown used to require multiple visits but not anymore. With our on-site CEREC technology, we make the process fast, precise, and comfortable from start to finish.

We’ll begin with a quick, mess-free digital scan of your tooth—no goopy impressions required!
Using advanced software, we custom-design your crown to fit your tooth’s shape, bite, and natural appearance.
Your crown is milled in-office from high-strength ceramic which takes typically about an hour. Feel free to sit back and relax with your favorite TV show while you wait.
We place the crown, ensure a seamless, natural-looking fit, and polish it to match your smile. You’re all set—no second appointment needed.
.webp)
At Northstar Dental, we’ve built a practice around what matters most—people. You’ll find a private-practice feel with modern amenities, a multi-doctor team, and a legacy of trust spanning generations.
We use strong, natural-looking ceramic materials that are safe, biocompatible, and ideal for long-term wear.
Our digital design and milling system ensures a crown that fits and blends beautifully with your natural smile.
Our skilled team brings years of restorative experience to every case—now with the added efficiency of same-day care.
Have questions? Here are some of the most common questions we hear from patients!
Crowns offer stronger, more comprehensive protection for teeth that have experienced significant damage. While fillings are a great solution for smaller areas of decay or minor fractures, a crown is often the better choice when a tooth needs more support and stability. Our goal is to protect your tooth for the long haul, not just patch it up, so you can avoid future issues and keep your smile healthy for years to come.
Yes! Our same-day crowns are made from high-strength ceramic and are just as durable and long-lasting as lab-fabricated crowns.
Absolutely. Our state-of-the-art CEREC machine is the best on the market. We take a careful, detailed approach to color-match and shape your crown to blend in with your natural smile.
Most patients are in and out in around two hours—walk in with a damaged tooth and leave with a fully restored one.
We’ll assess your bite during the process and may recommend a nightguard to protect your crown if needed. We recommend getting in touch with us for a TMJ consultation as our team is highly trained in techniques to get you the pain relief you deserve.

