Want a straighter smile without brackets or wires? We offer a range of clear aligner options that fit your goals, lifestyle, and budget. Whether you're an adult seeking subtle corrections or a teen just getting started, we'll guide you every step of the way.

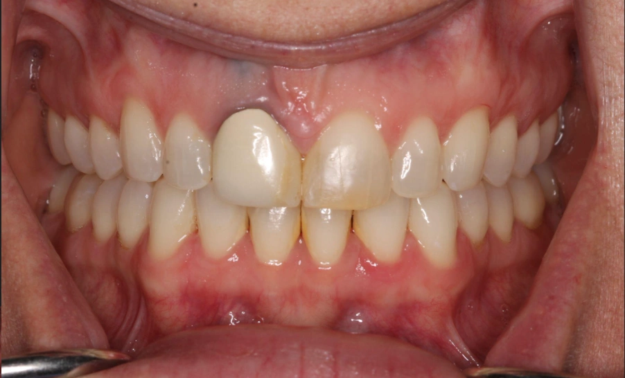
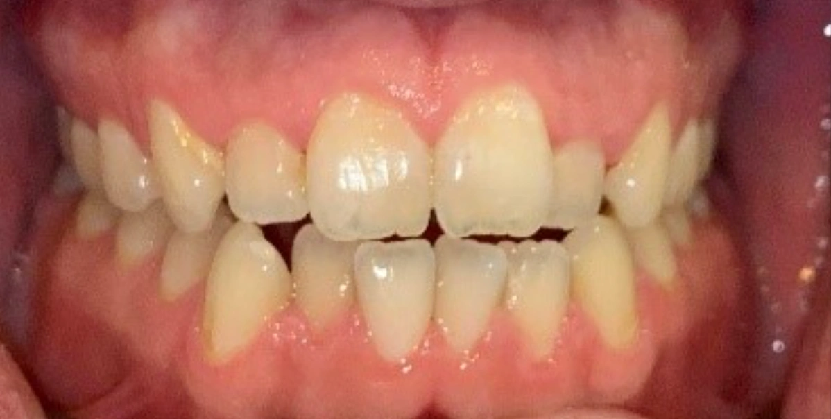
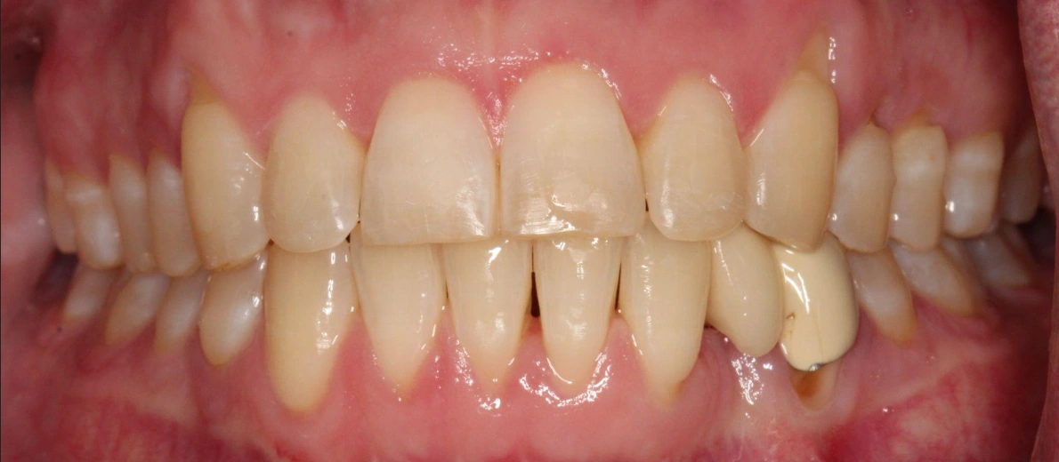
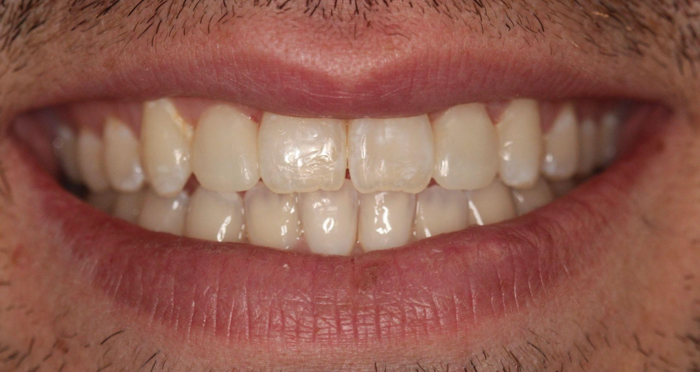
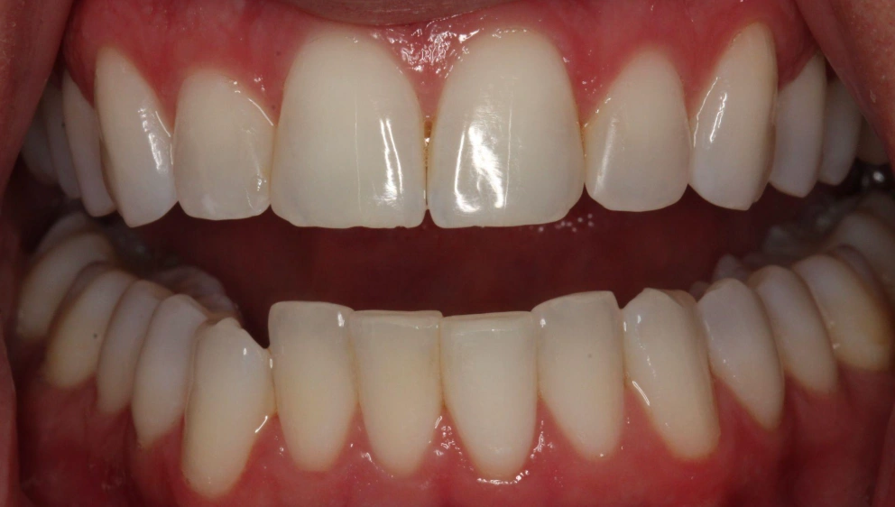
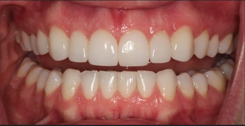
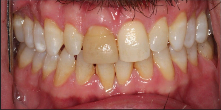
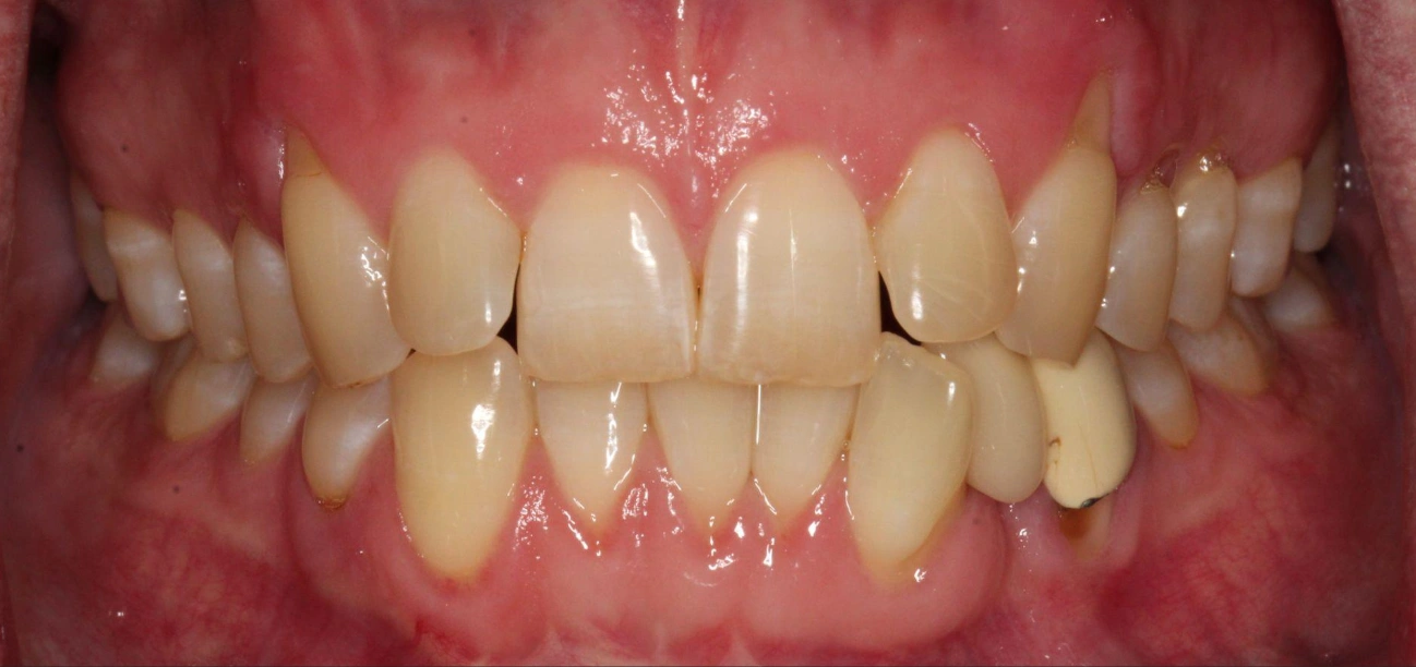
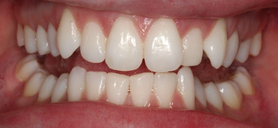
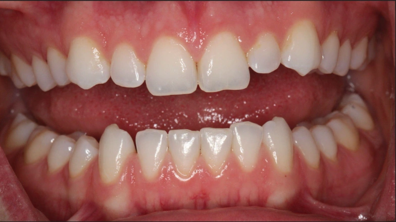
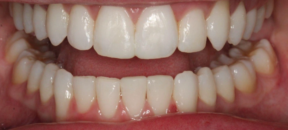
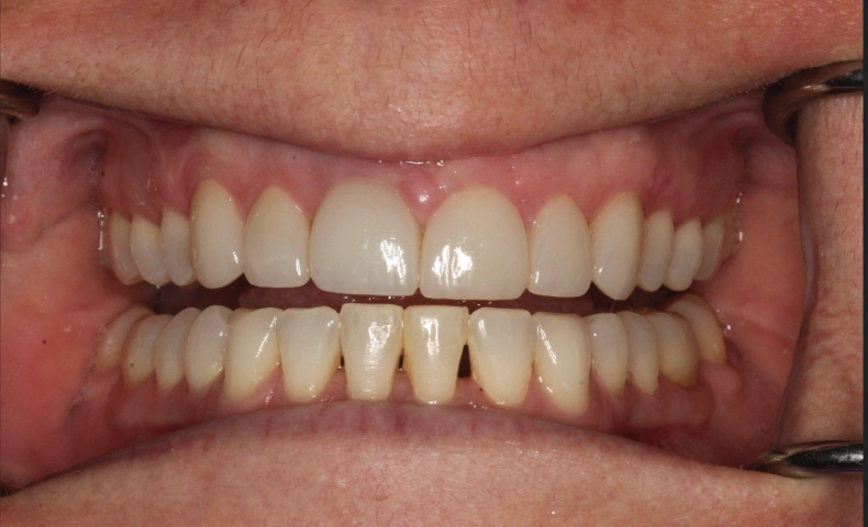
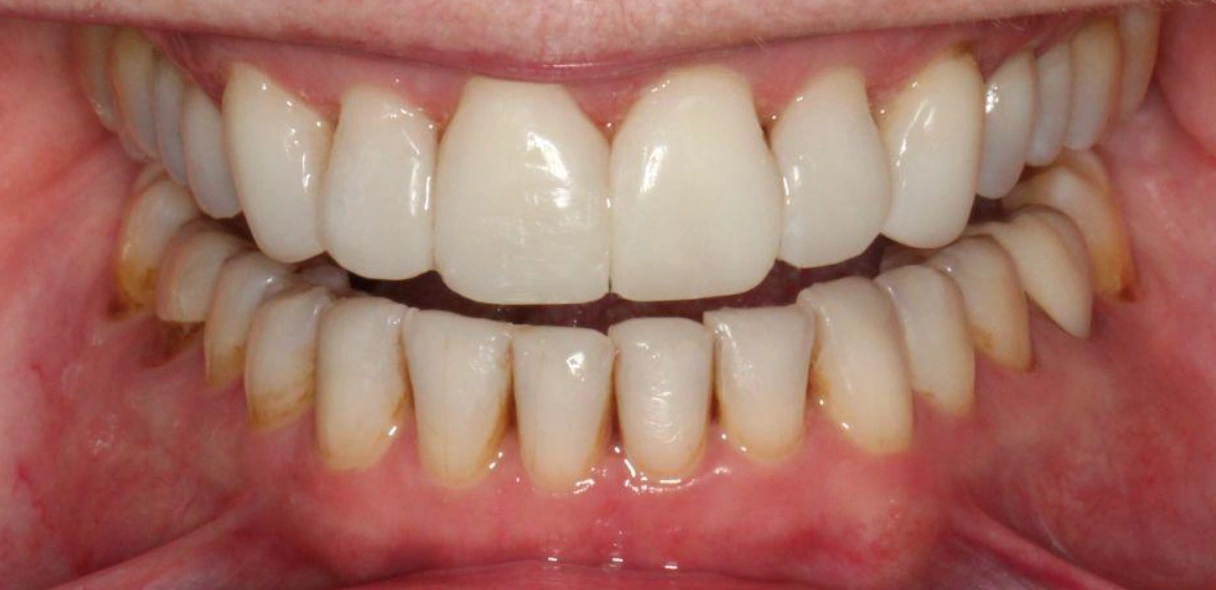
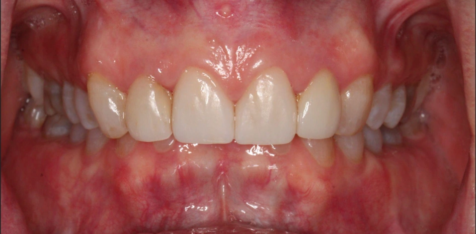
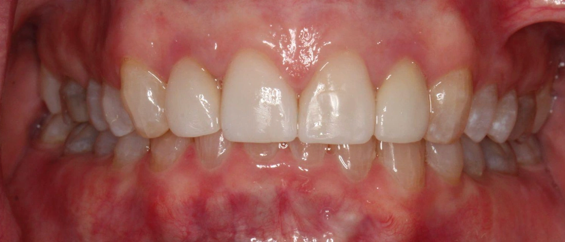
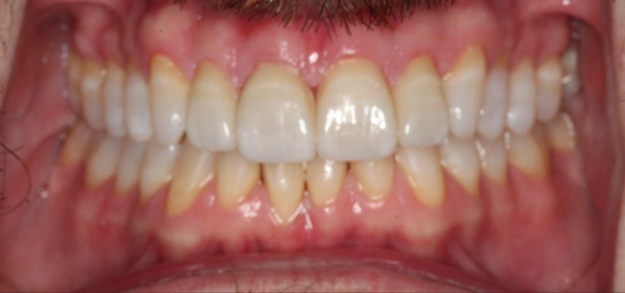
Clear aligners are custom-made, removable trays that gradually shift your teeth into alignment—without the look or feel of traditional braces.Nearly invisible, easy to remove for eating and brushing, and comfortable enough for everyday wear. Clear aligners are ideal for correcting crowding, gaps, overbites, underbites, and more with minimal disruption to your life.

Take them out to eat, brush, and floss—no food restrictions or complicated cleaning routines.
Clear aligners are nearly invisible and can be removed for meals, photos, or big events—so you never have to pause your lifestyle.
Each set is designed to gently move your teeth with precision, offering a smooth and comfortable fit—without wires or brackets.
.webp)
Our trusted local team has you covered with a wide variety of sedation options to suit your every need. Schedule a free consultation and discover which option is best for you.
We make your aligner journey smooth and personalized from start to finish. With modern tools and a thoughtful approach, you’ll always know what to expect.

We’ll assess your smile, discuss your goals, and take a digital scan—no messy impressions needed.
Using advanced software, we’ll map out your step-by-step transformation and review your estimated timeline.
Once your aligners are ready, we’ll check the fit and walk you through wear and care. Most patients switch trays every 1–2 weeks.
You’ll come in for periodic check-ins to ensure everything’s on track. After treatment, we’ll provide custom retainers to keep your results lasting.

At Northstar Dental, we’ve built a practice around what matters most—people. You’ll find a private-practice feel with modern amenities, a multi-doctor team, and a legacy of trust spanning generations.
Our doctors stay up to date on the latest in digital orthodontic planning to ensure optimal results.
We’ll check fit, monitor progress closely, and make adjustments as needed to ensure you stay comfortable throughout your journey.
From clear aligners to preventive care, we help teens protect their oral health and feel confident in their smile—now and for the future.
Have questions? Here are some of the most common questions we hear from patients!
Treatment time varies, but most clear aligner plans last between 6 to 18 months. We’ll give you a clear estimate during your consultation.
Most patients are surprised at how comfortable the procedure is—especially with IV sedation available. We also provide detailed aftercare to support smooth healing.
For best results, wear your aligners 20–22 hours a day—removing them only to eat, drink anything other than water, or brush.
Not at all. Clear aligners can also treat bite issues, crowding, spacing, and more. We’ll help you determine if you’re a good candidate.
Yes. To maintain your results, we’ll provide a custom retainer and walk you through how to keep your smile straight for years to come.

